- 
            
             By Hamza Ahmed Shawky By Hamza Ahmed Shawky
 Co-author(s): Mohamed Tawfik, Alferdaws eye hospital, Retina unit
- Uploaded on Apr 14, 2018.
- Last modified by Caroline Bozell on Apr 17, 2018.
- Rating
- Appears in
- Miscellaneous
- Condition/keywords
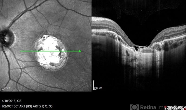
- macular dystrophy, central areolar choroidal dystrophy (CACD), retinal dystrophy, hereditary retinal dystrophy
- Photographer
- Hamza Shawky, Alferdaws eye hospital, Retina unit
- Imaging device
- Heidelberg Spectralis
- Description
- Left fundus OCT of a 35-year-old man with central areolar choroidal dystrophy, BCVA is 6/60

 
        
 Initializing download.
                Initializing download. 
             
             
             
            ---thumb.jpg/image-square;max$79,0.ImageHandler) 
             
            