-
By Albert Lin, MD
University of Mississippi Medical Center
Co-author(s): Nils Mungan, MD, University of Mississippi Medical Center, Department of Ophthalmology - Uploaded on Apr 10, 2018.
- Last modified by Caroline Bozell on Apr 10, 2018.
- Rating
- Appears in
- 10-Apr-2018
- Condition/keywords
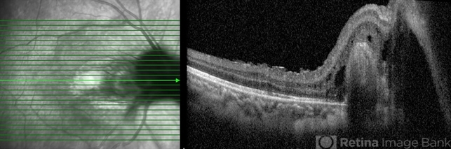
- toxocara granuloma
- Photographer
- Morgan Ladner, University of Mississippi Medical Center, Department of Ophthalmology
- Imaging device
- Optical coherence tomography system
- Description
- 9-year-old male with chronic poor vision, band keratopathy, and posterior synechia in the right eye with a unilateral subretinal toxocara granuloma in the papillomacular bundle.

Initializing download.