-
By Daniel R Agarwal, MD
San Luis Obispo Eye Associates
Co-author(s): Daniel Agarwal & Aleksandra Rachitskaya, Cleveland Clinic, Cole Eye Institute - Uploaded on Mar 8, 2018.
- Last modified by Chayal Patel on Mar 12, 2018.
- Rating
- Appears in
- Miscellaneous
- Condition/keywords
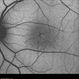
- macular telangiectasia, macular telangiectasia type 2
- Photographer
- Jen Welsh
- Imaging device
-
Optical coherence tomography system
Zeiss Angioplex OCTA - Description
- OCT Angiography image in a 51-year-old male with fogging of vision and leaking on fluorescein angiography.

Initializing download.