-
By JEFFERSON R SOUSA, Tecg.º (Biomedical Systems Technology)
Lens Oftalmologia - Hospital Beneficiência Portuguesa - Uploaded on Feb 23, 2018.
- Last modified by Chayal Patel on Feb 27, 2018.
- Rating
- Appears in
- Miscellaneous
- Condition/keywords
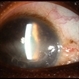
- central opacity of cornea, neovascularization (NV), corneal edema, 20 degrees
- Photographer
- JEFFERSON R SOUSA - Study Center and Ophthalmological Research Dr. Andre M V Gomes, Institute Dr. Suel Abujamra São Paulo-Brazil
- Imaging device
-
Fundus camera
Topcon TRC-50 DX, Imaginet 5.0, angle de 20 graus. Flash 36. - Description
- 64-year-old patient, with vision loss more than 10 years after having suffered blunt trauma with ocular perforation.

Initializing download.