-
By John S. King, MD
Retina Associates, PA - Uploaded on Feb 1, 2018.
- Last modified by Chayal Patel on Feb 5, 2018.
- Rating
- Appears in
- PPCRA
- Condition/keywords
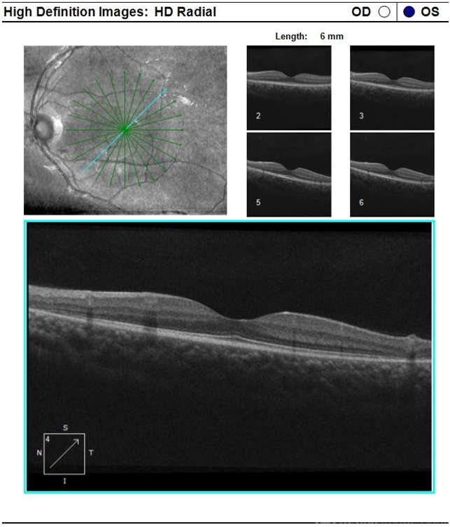
- pigmented paravenous chorioretinal atrophy (PPCRA)
- Photographer
- Karin Aletter
- Description
- 15-year-old healthy, asymptomatic AAM; found on routine eye exam; no FHx of RP known; OCT shows some extrafoveal, outer retinal degeneration.

Initializing download.