-
By Narciso F. Atienza, MD, MBA, FASRS, FPCS, FPAO.
Tzu Chi Eye Center - Uploaded on Feb 22, 2017.
- Last modified by Caroline Bozell on Feb 24, 2017.
- Rating
- Appears in
- Miscellaneous
- Condition/keywords
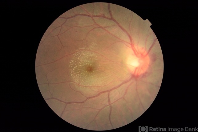
- neuroretinitis
- Description
- Neuroretinitis

Initializing download.