-
By Manish Nagpal, MD, FRCS (UK), FASRS
Retina Foundation
Co-author(s): Hardik Jain - Uploaded on Dec 15, 2016.
- Last modified by Caroline Bozell on Dec 16, 2016.
- Rating
- Appears in
- Miscellaneous
- Condition/keywords
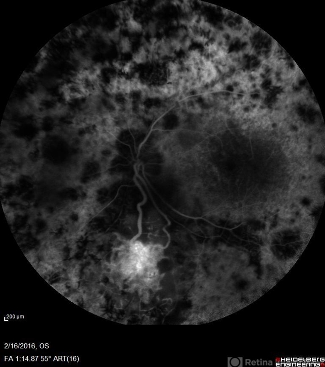
- retinitis pigmentosa, hemangioma
- Imaging device
- Scanning laser ophthalmoscope
- Description
- Fluorescein angiography OS of a patient having retinitis pigmentosa with a hemangioma inferiorly.

Initializing download.