-
By John T. Thompson, MD
Retina Specialists - Uploaded on Sep 18, 2016.
- Last modified by Caroline Bozell on Sep 19, 2016.
- Rating
- Appears in
- Miscellaneous
- Condition/keywords
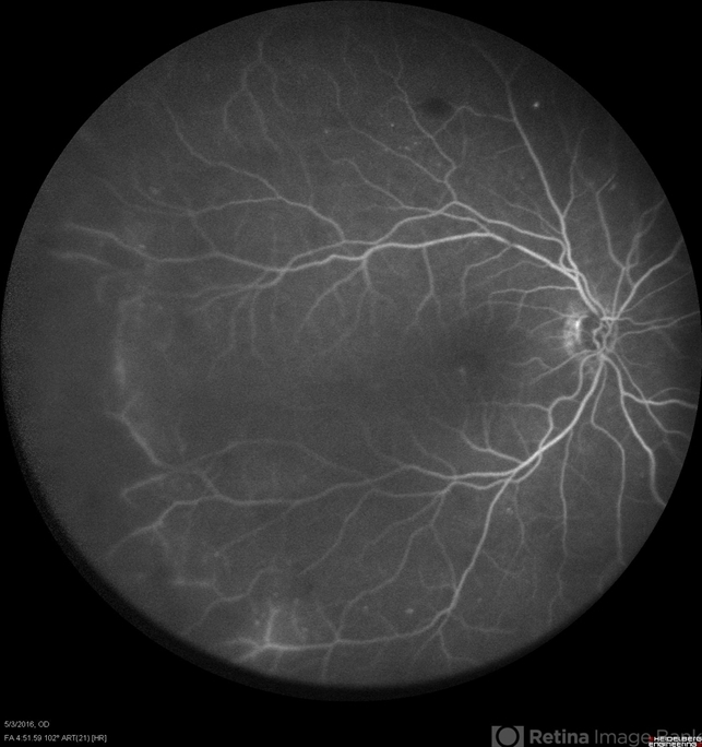
- hypertensive retinopathy
- Imaging device
- Heidelberg Widefield Angiogram
- Description
- Wide field angiogram showing peripheral vaso-occlusive changes from prior hypertensive retinopathy.

Initializing download.