-
By JEFFERSON R SOUSA, Tecg.º (Biomedical Systems Technology)
Lens Oftalmologia - Hospital Beneficiência Portuguesa
Co-author(s): Dr. André M. V. Gomes Study Center and Ophthalmological Research - São Paulo-Brazil - Uploaded on Sep 2, 2016.
- Last modified by Caroline Bozell on Sep 8, 2016.
- Rating
- Appears in
- Miscellaneous
- Condition/keywords
- diffuse unilateral subacute neuroretinitis (DUSN), larva, uveitis
- Photographer
- JEFFERSON R SOUSA - Study Center and Ophthalmological Research Dr. Andre M V Gomes, Institute Dr. Suel Abujamra São Paulo-Brazil
- Imaging device
-
Fundus camera
Topcon TRC-50 Dx - Angulation of field photo of 35 Degrees, filter Red Free, flash 75 system 75, Digital Imaginet - Description
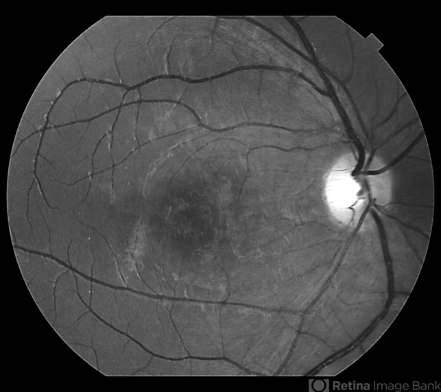
- Patient female, 15-year-old, he entered the clinic with complaint of low vision, visual acuity without correction was 20/60 in the right eye and 20/30 in the left eye. In the ocular exam of retinografia, there was change in the epithelium macular pigment and a small larva juxtafoveal above.

Initializing download.