-
By Andrea Arriola-Lopez, MD MSc
Innovación Ocular
Co-author(s): Daniel Rangel MD - Uploaded on May 18, 2016.
- Last modified by Caroline Bozell on May 19, 2016.
- Rating
- Appears in
- Miscellaneous
- Condition/keywords
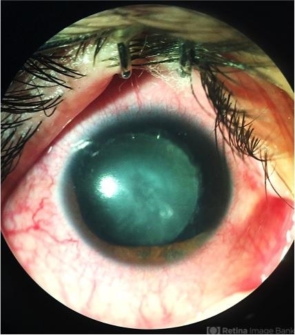
- trauma, cataract, traumatic cataract, aniridia
- Photographer
- Andrea E. Arriola-López MD MSc
- Imaging device
- Photo slit lamp biomicroscope
- Description
- 26-year-old man, old ocular blunt trauma. VA HM OD. IOP 14mmHg. Traumatic partial aniridia, cataract and phacodonesys. Ophthalmoscopy showed diffuse hemovitreous, Retina remained attached.

Initializing download.