-
By Andrea Arriola-Lopez, MD MSc
Innovación Ocular
Co-author(s): Virgilio Morales-Canton MD - Uploaded on May 11, 2016.
- Last modified by Caroline Bozell on May 16, 2016.
- Rating
- Appears in
- Miscellaneous
- Condition/keywords
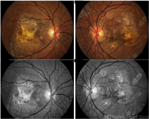
- angioid streaks, neovascularization (NV), color fundus photograph, red-free
- Photographer
- Andrea E. Arriola-Lopez MD MSc
- Imaging device
-
Fundus camera
Visucam lite Zeiss - Description
- 64-year-old man, VA CF AO. Inactive neovascularization. Color fundus and red free photograph.

Initializing download.