-
By Gerardo Garcia-Aguirre, MD
Asociacion para Evitar la Ceguera en Mexico - Uploaded on Aug 23, 2012.
- Last modified by Gerardo Garcia-Aguirre, MD on Oct 9, 2012.
- Rating
- Appears in
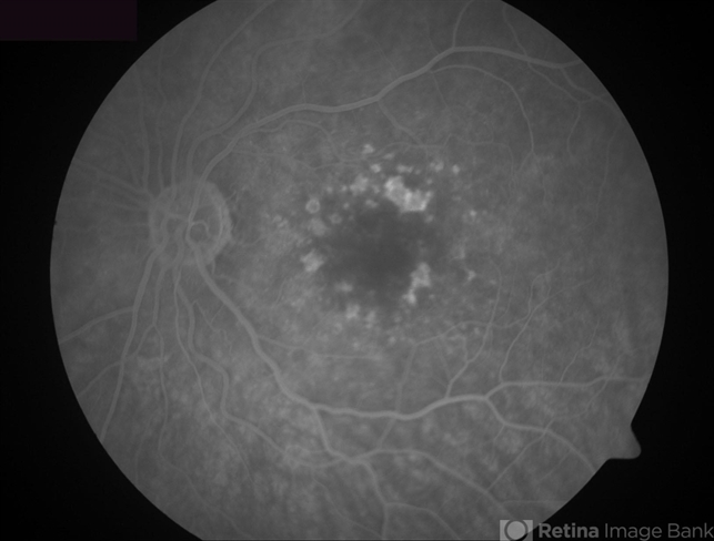
- Dry Age-Related Macular Degeneration - Calcified drusen
- Condition/keywords
- calcified drusen, dry age-related macular degeneration (dry AMD), age-related macular degeneration (AMD)
- Photographer
- Noemí Hernández, Asociación para Evitar la Ceguera en México
- Imaging device
-
Fundus camera
Zeiss FF4 - Description
- Fluorescein angiogram of a 72 year-old patient with dry age-related macular degeneration and calcified drusen.

Initializing download.