-
By P. Mahesh Shanmugam, MBBS, DO, FRCSEd, PhD, FAICO
Sankara Eye Hospitals
Co-author(s): Dr Rajesh Ramanjulu - Uploaded on Dec 22, 2015.
- Last modified by Caroline Bozell on Dec 22, 2015.
- Rating
- Appears in
- Miscellaneous
- Condition/keywords
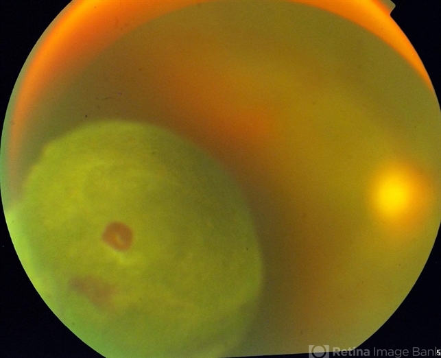
- melanoma
- Imaging device
- Fundus camera
- Description
- Large choroidal melanoma with collar stud appearance.

Initializing download.