
File number: 26073
Comments
-
Kent W. Small, MD, FASRS, FACS (May 27 2020)
please contact me... this is likely NCMD kentsmall@hotmail.com
Sign in to comment.
-
By Ahmad B. Tarabishy, MD
Retina Specialists of Tampa
Co-author(s): Ahmad Tarabishy MD, Retina Specialists of Tampa - Uploaded on Nov 20, 2015.
- Last modified by Ahmad B. Tarabishy, MD on Apr 19, 2019.
- Rating
- Appears in
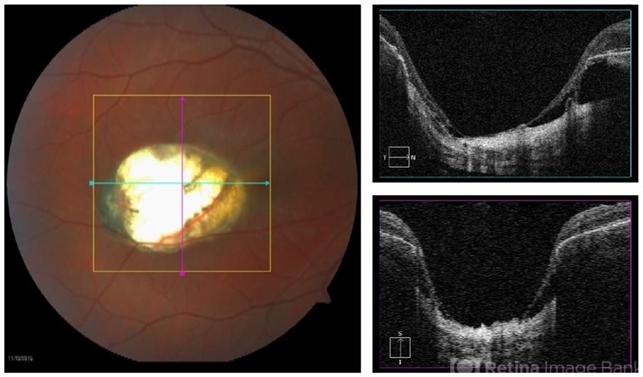
- Ocular Toxoplasmosis
- Condition/keywords
- macula lesion, toxoplasmosis, inactive toxoplasmosis
- Photographer
- Phaedra Lund, Retina Specialists of Tampa
- Imaging device
-
Optical coherence tomography system
Zeiss Cirrus OCT - Description
- 28-year-old male with active toxoplasmosis chorioretinitis OS and a large macular toxoplasmosis scar OD. Vision is 20/25 OU.