Vitreous Traction on Disc / PVD

file

File number: 25450


Comments

    Sign in to comment.

    Rating
    Appears in
    Vitreous Traction on Disc PVD
    Condition/keywords
    vitreous traction
    Description
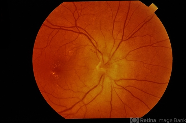
    43-year-old female, vitreous traction on disc / PVD.

    Related files