Usher's Syndrome

file

File number: 25221


Comments

    Sign in to comment.

    Rating
    Appears in
    Miscellaneous
    Condition/keywords
    usher's syndrome
    Description
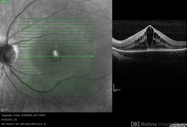
    10-year-old boy with usher's syndrome and diffuse CME.

    Related files