-
By Darin R. Goldman, MD
Retina Group of Florida - Uploaded on May 27, 2015.
- Last modified by Chayal Patel on Jun 2, 2015.
- Rating
- Appears in
- Miscellaneous
- Condition/keywords
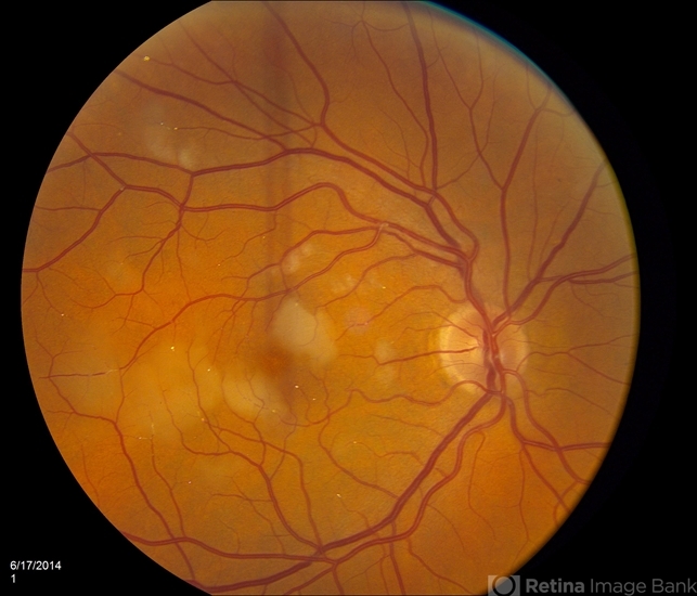
- branch retinal artery occlusion (BRAO), cherry red spot, retinal microembolism, embolus
- Description
- 60-year-old phakic male with multiple retinal emboli found to have a patent foramen ovale, which was repaired surgically with no further retinal occlusive episodes.

Initializing download.