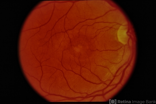
Juxtafoveal Telangiectasis / DM / Diabetes

file

File number: 24658


Comments

    Sign in to comment.

    Rating
    Appears in
    Juxtafoveal Telangiectasis DM Diabetes
    Condition/keywords
    juxtafoveal telangiectasis, diabetic maculopathy, diabetes
    Description
    37-year-old white female, juxtafoveal telangiectasis / DM / diabetes.

    Related files