-
By H. Michael Lambert, MD
- Uploaded on Feb 20, 2015.
- Last modified by Caroline Bozell on Feb 20, 2015.
- Rating
- Appears in
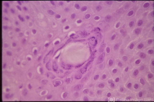
- Linear Nevus Sebaceous Syndrome
- Condition/keywords
- linear nevus sebaceous syndrome, histopathology
- Description
- Histopathology of linear sebaceous nevus syndrome.

Initializing download.