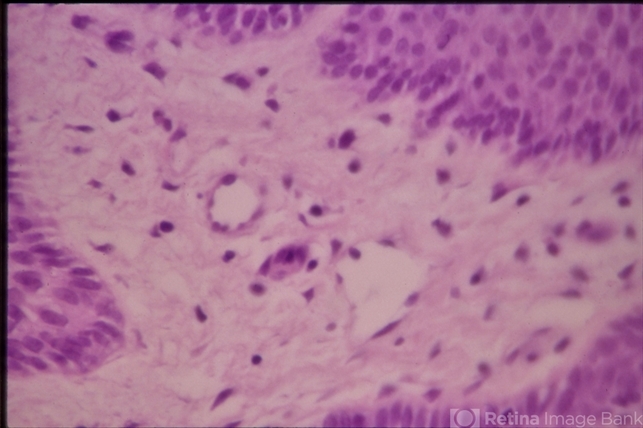
Histopathology of Linear Sebaceous Nevus Syndrome

file

File number: 24409


Comments

    Sign in to comment.

    Rating
    Appears in
    Linear Nevus Sebaceous Syndrome
    Condition/keywords
    linear nevus sebaceous syndrome, histopathology
    Description
    Histopathology of linear sebaceous nevus syndrome.

    Related files