-
By H. Michael Lambert, MD
- Uploaded on Jan 30, 2015.
- Last modified by Caroline Bozell on Jan 30, 2015.
- Rating
- Appears in
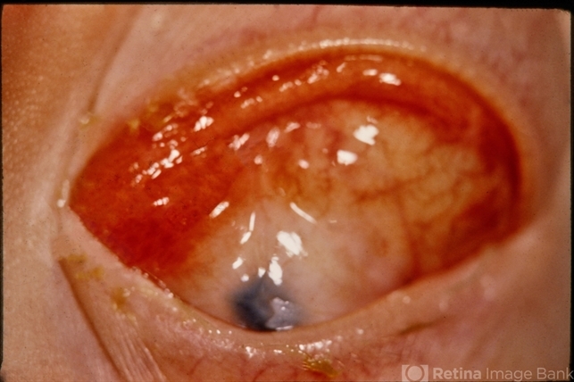
- MicroOphthalmia
- Condition/keywords
- micro-ophthalmic eye
- Description
- Micro-ophthalmic eye with conjunctival cysts and inflammation.

Initializing download.