- 
            
             By H. Michael Lambert, MD By H. Michael Lambert, MD
- Uploaded on Jan 8, 2015.
- Last modified by Caroline Bozell on Jan 8, 2015.
- Rating
- Appears in
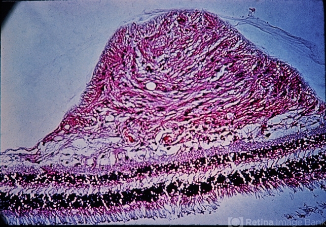
- Tuberous Sclerosis
- Condition/keywords
- tuberous sclerosis
- Description
- Histopathology of astrocytic hamartoma.

 
        
 Initializing download.
                Initializing download. 
             
             
            ---thumb.jpg/image-square;max$79,0.ImageHandler) 
            ---thumb.jpg/image-square;max$79,0.ImageHandler) 
             
             
             
             
             
             
            