-
By H. Michael Lambert, MD
- Uploaded on Jan 5, 2015.
- Last modified by H. Michael Lambert, MD on Feb 2, 2015.
- Rating
- Appears in
- CACD
- Condition/keywords
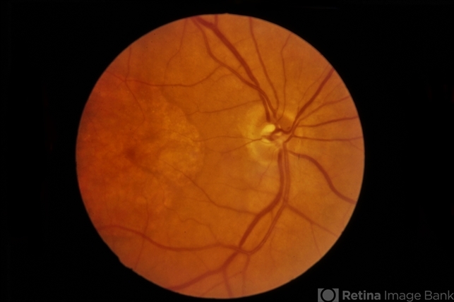
- central areolar choroidal dystrophy (CACD)
- Description
- OD with central, well defined, confluent atrophy.

Initializing download.