- 
            
            By Mallika Goyal, MD 
 Apollo Health City
 Co-author(s): Sridhar A, MD, Apollo Health City, Jubilee Hills, Hyderabad-500033
- Uploaded on Dec 15, 2014.
- Last modified by Caroline Bozell on Dec 16, 2014.
- Rating
- Appears in
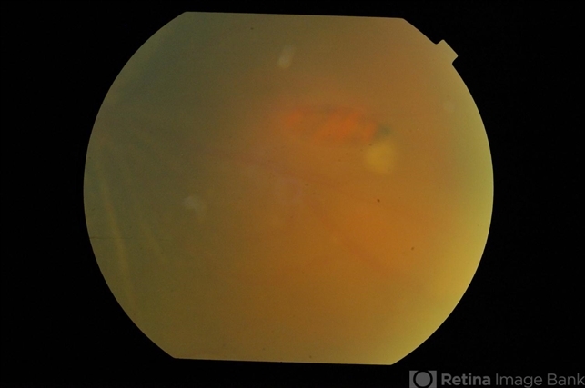
- Retinal fold near retinal break in rhegmatogenous retinal detachment
- Condition/keywords
- retinal fold
- Photographer
- Mallika Goyal, MD, Apollo Health City, Jubilee Hills, Hyderabad-500033
- Imaging device
- Fundus camera
- Description
- Left fundus of a 32-year-old male shows a large retinal break with rhegmatogenous retinal detachment. This is near a fixed retinal fold (not seen in this photograph).

 
        
 Initializing download.
                Initializing download. 
             
             
             
             
             
             
            