-
By Howard Schatz, MD
- Uploaded on Dec 9, 2014.
- Last modified by Chayal Patel on Dec 9, 2014.
- Rating
- Appears in
- AOFPED
- Condition/keywords
- AOFPED
- Description
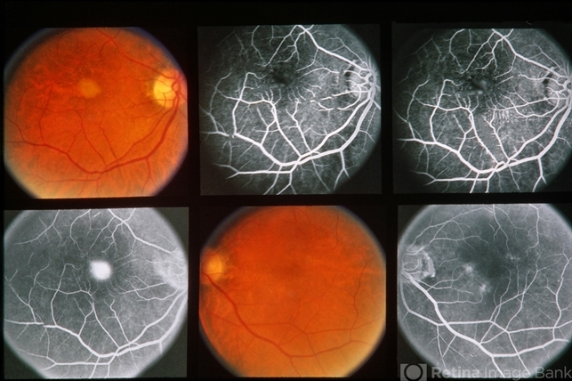
- 69-year-old white female. AOFPED. RE 20/80 LE 20/40.

Initializing download.