-
By Avris Romario Diparaja Siahaan
- Uploaded on Dec 3, 2014.
- Last modified by Caroline Bozell on Dec 3, 2014.
- Rating
- Appears in
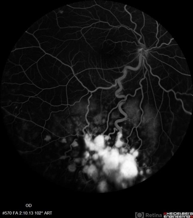
- Von HippelLindau
- Condition/keywords
- Von Hippel-Lindau, ultra-wide field imaging
- Photographer
- Avris Romario Diparaja Siahaan, Klinik Mata Nusantara
- Imaging device
-
Scanning laser ophthalmoscope
Heidelberg HRA + OCT - Description
- The early phase of fluorescein angiography of an 18-year-old with Von Hippel-Lindau disease on his right eye. He suffered this condition on both of his eyes.

Initializing download.