-
By Mallika Goyal, MD
Apollo Health City
Co-author(s): Sridhar A, MD - Uploaded on Nov 13, 2012.
- Last modified by Chayal Patel on Nov 13, 2012.
- Reviewed by Chayal Patel
- Rating
- Appears in
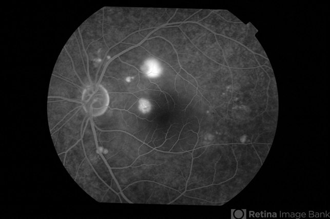
- Bilateral Central Serous Chorioretinopathy
- Condition/keywords
- central serous chorioretinopathy (CSCR)
- Photographer
- Mallika Goyal, MD
- Imaging device
- Fundus camera
- Description
- Mid-phase fluorescein angiogram of left eye of a 33-year-old gentleman with bilateral CSC.

Initializing download.