- 
            
            By Mallika Goyal, MD 
 Apollo Health City
 Co-author(s): Sridhar A, MD
- Uploaded on Nov 13, 2012.
- Last modified by Chayal Patel on Nov 13, 2012.
- Reviewed by Chayal Patel
- Rating
- Appears in
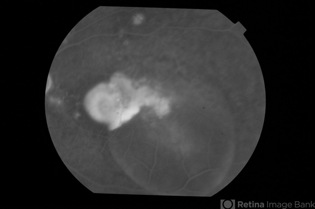
- Bilateral chronic central serous chorioretinopathy
- Condition/keywords
- central serous chorioretinopathy (CSCR), bilateral chronic central serous retinopathy
- Photographer
- Mallika Goyal, MD
- Imaging device
- Fundus camera
- Description
- Late phase fluorescein angiogram of left eye of a 33-year-old gentleman with bilateral CSC.

 
        
 Initializing download.
                Initializing download. 
             
             
             
             
             
             
             
             
            