-
By James B. Soque, CRA, OCT-C, COA, FOPS
VRC OF NEW YORK
Co-author(s): Pamela A Weber, MD, Island Retina, Shirley, NY - Uploaded on Oct 14, 2014.
- Last modified by Caroline Bozell on Oct 14, 2014.
- Rating
- Appears in
- Miscellaneous
- Condition/keywords
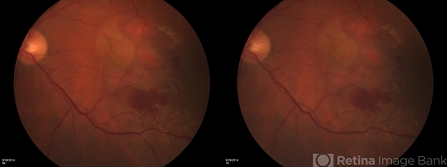
- fundus photograph, neovascular age-related macular degeneration (AMD), stereo pair
- Photographer
- James Soque, CRA, COA, Island Retina, Shirley, NY
- Imaging device
-
Fundus camera
Topcon TRC 50 EX, with MERGE software and OIS 5 MP digital Camera - Description
- Stereo FC, RF and FA of a 77-year-old white female with visual acuity CC 20/200-3, with left eye neovascular ARMD, drusen, and subretinal hemorrhage with hard exudates temporally. Peripheral retina reveals cobblestone degeneration.

Initializing download.