-
By Mallika Goyal, MD
Apollo Health City
Co-author(s): Sridhar A, MD - Uploaded on Nov 3, 2012.
- Last modified by Mallika Goyal, MD on Nov 27, 2012.
- Reviewed by Chayal Patel
- Rating
- Appears in
- CSCR
- Condition/keywords
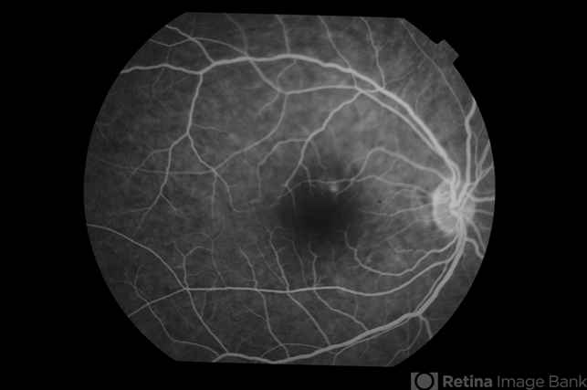
- central serous chorioretinopathy (CSCR)
- Photographer
- Mallika Goyal, MD, Apollo Health City, Hyderabad
- Imaging device
- Fundus camera
- Description
- Fluorescein angiogram of right eye of a 35-year-old gentleman with CSCR shows an ink blot RPE leak.

Initializing download.