-
By Mallika Goyal, MD
Apollo Health City
Co-author(s): Sridhar A, MD, Apollo Health City, Jubilee Hills, Hyderabad-500033 - Uploaded on Jul 29, 2014.
- Last modified by Caroline Bozell on Jul 29, 2014.
- Rating
- Appears in
- Perifoveal Telangiectasia with CNVM
- Condition/keywords
- perifoveal telangiectasia
- Photographer
- Mallika Goyal, MD, Apollo Health City, Jubilee Hills, Hyderabad-500033
- Imaging device
- Fundus camera
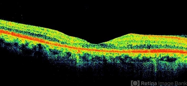
- Description
- Right eye OCT of a 52-year-old male shows central retinal thickness reduction associated with perifoveal telangiectasia. Fellow eye has CNVM associated with telangiectasia.

Initializing download.