-
By Mallika Goyal, MD
Apollo Health City
Co-author(s): Sridhar A, MD, Apollo Health City, Jubilee Hills, Hyderabad-500033 - Uploaded on Jul 29, 2014.
- Last modified by Caroline Bozell on Jul 29, 2014.
- Rating
- Appears in
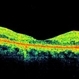
- Perifoveal Telangiectasia with CNVM
- Condition/keywords
- perifoveal telangiectasia
- Photographer
- Mallika Goyal, MD, Apollo Health City, Jubilee Hills, Hyderabad-500033
- Imaging device
- Fundus camera
- Description
- Left eye fundus of a 52-year-old male shows CNVM associated with perifoveal telangiectasia at presentation in Aug 2012. This eye has been treated with intravitreal bevacizumab for 22 months.

Initializing download.