-
By Mallika Goyal, MD
Apollo Health City - Uploaded on Oct 27, 2012.
- Last modified by Chayal Patel on Nov 27, 2012.
- Reviewed by Chayal Patel
- Rating
- Appears in
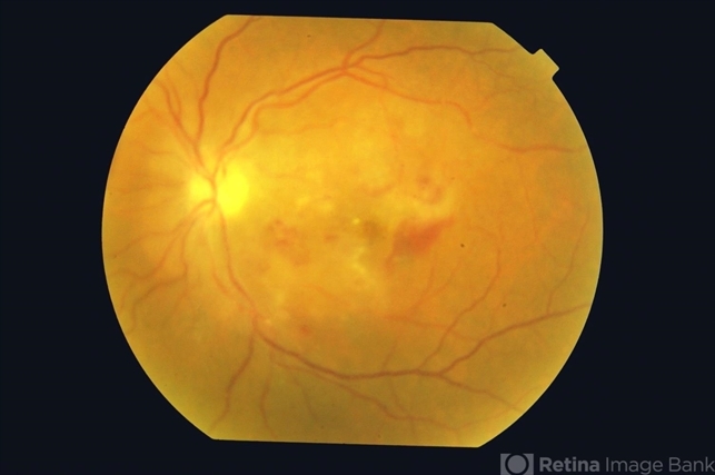
- Dengue Retinitis
- Condition/keywords
- bilateral dengue retinitis, retinal hemorrhage, exudates over the posterior pole
- Photographer
- Mallika Goyal, MD
- Imaging device
- Fundus camera
- Description
- Left eye of a 37-year-old lady recovering from dengue fever with bilateral dengue retinitis shows retinal hemorrhages and exudates over the posterior pole.

Initializing download.