-
By Susanna S. Park, MD, PhD
University of California Davis Eye Center - Uploaded on Jul 9, 2014.
- Last modified by Caroline Bozell on Jul 10, 2014.
- Rating
- Appears in
- Oncology
- Condition/keywords
- optical coherence tomography (OCT), choroidal nevus
- Photographer
- Ellen Redenbo
- Imaging device
- Optical coherence tomography system
- Description
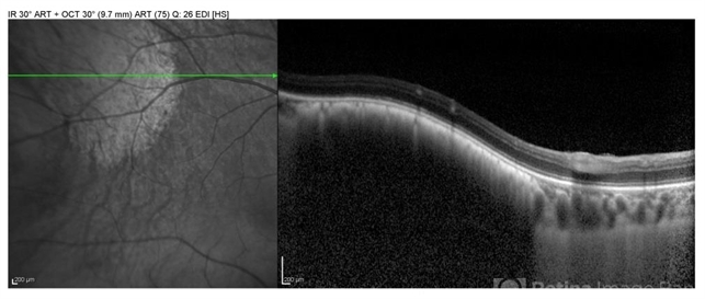
- EDI OCT imaging of a large pigmented choridal nevus showing mild elevation with no associated subretinal fluid.

Initializing download.