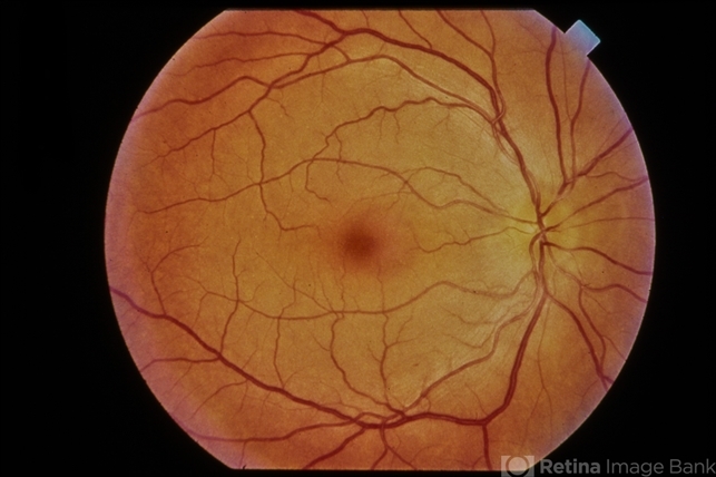
Pseudo-POHS / Lyme

file

File number: 18622


Comments

    Sign in to comment.

    Rating
    Appears in
    PseudoPOHS Lyme
    Condition/keywords
    presumed ocular histoplasmosis syndrome (POHS), Lyme disease
    Description
    45-year-old white female, pseudo-POHS / Lyme.

    Related files