-
By John S. King, MD
Retina Associates, PA - Uploaded on Jul 1, 2014.
- Last modified by Caroline Bozell on Jul 1, 2014.
- Rating
- Appears in
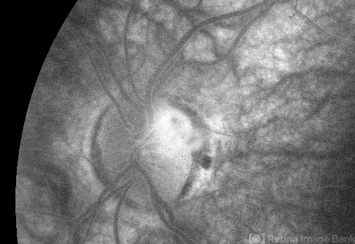
- Unusual presentation of VHL juxtapapillary hemangioblastoma detached from retina with feeder vessels
- Condition/keywords
- Von Hippel-Lindau, retinal hemangioblastoma
- Photographer
- Wayne A Ladlee Jr
- Imaging device
-
Fundus camera
FA - 5 min - Description
- 30-year-old female with fhx VHL and CNS hemangioblastomas and visceral lesions. P/C with a floater (no PVD or VH) after episodes of vomiting.

Initializing download.