-
By David Callanan, MD
Aviceda Therapeutics - Uploaded on Jun 13, 2014.
- Last modified by Caroline Bozell on Jun 13, 2014.
- Rating
- Appears in
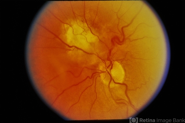
- Combined Retinal RPE Hamartoma
- Condition/keywords
- combined hamartoma, retinal pigment epithelium (RPE) hamartoma
- Description
- 66-year-old white female, combined retinal & RPE hamartoma.

Initializing download.