-
By Mallika Goyal, MD
Apollo Health City - Uploaded on Oct 26, 2012.
- Last modified by Chayal Patel on Nov 27, 2012.
- Reviewed by Chayal Patel
- Rating
- Appears in
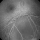
- Retinoschisis
- Condition/keywords
- juvenile retinoschisis, retinal break
- Description
- Fundus photograph of left eye of a 9-year-old boy with juvenile retinoschisis with large inner retinal break .

Initializing download.