-
By Neha Goel, MS DNB FRCS (Glasg)
Eye7 Chaudhary Eye Centre - Uploaded on Jun 4, 2014.
- Last modified by Caroline Bozell on Jun 4, 2014.
- Rating
- Appears in
- Dystrophies
- Condition/keywords
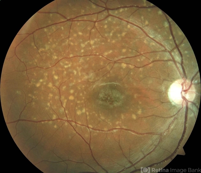
- Stargardt disease, hereditary retinal dystrophy
- Photographer
- Neha Goel
- Imaging device
-
Fundus camera
Zeiss Visucam - Description
- Fundus photograph of the right eye of a 20-year-old male.

Initializing download.