
File number: 18248
Comments
-
Rameez N Hussain, MD (September 13 2025)
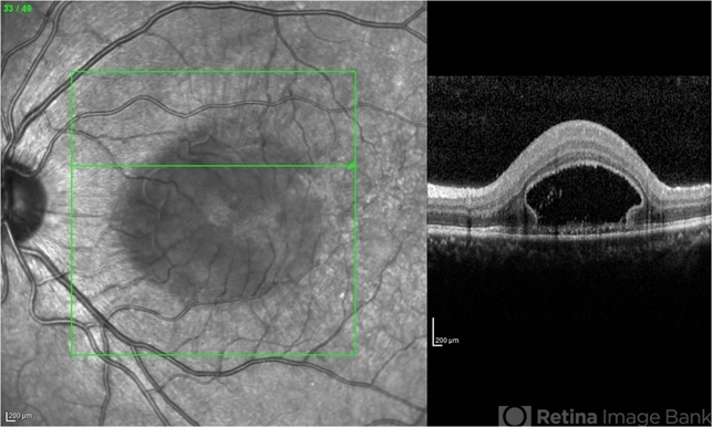
@Noemi Dalnoki. Kindly see the date this image was uploaded. (2nd June 2014). The term BALAD- Bacillary layer detachment appeared in literature after 2018 and later in few articles after 2021. This image was one of the first of its kind when modern high resolution OCT came into existence.
Thanks for comment anyways ... -
Noemi Dalnoki (September 13 2025)
This is not serous retinal detachment. This is BALAD.
Sign in to comment.
-
By Rameez N Hussain, MD
C CARE WELLKIN HOSPITAL, MAURITIUS
Co-author(s): A Giridhar, Chief of Vitreo Retinal Services, Giridhar Eye Institute, Cochin, India - Uploaded on Jun 2, 2014.
- Last modified by Caroline Bozell on Jun 2, 2014.
- Rating
- Appears in
- Macular Imaging
- Condition/keywords
- acute posterior multifocal placoid pigment epitheliopathy (APMPPE), serous retinal detachment
- Photographer
- Rameez N Hussain MD, Vitreo Retinal Services, Giridhar Eye Institute, Cochin, India
- Imaging device
-
Optical coherence tomography system
Heidelberg Spectralis - Description
- SD OCT image of acute posterior multifocal placoid pigment epitheliopathy (APMPPE) with serous macular detachment.