-
By Mallika Goyal, MD
Apollo Health City
Co-author(s): Sridhar A, MD - Uploaded on May 3, 2014.
- Last modified by Caroline Bozell on May 5, 2014.
- Rating
- Appears in
- Miscellaneous
- Condition/keywords
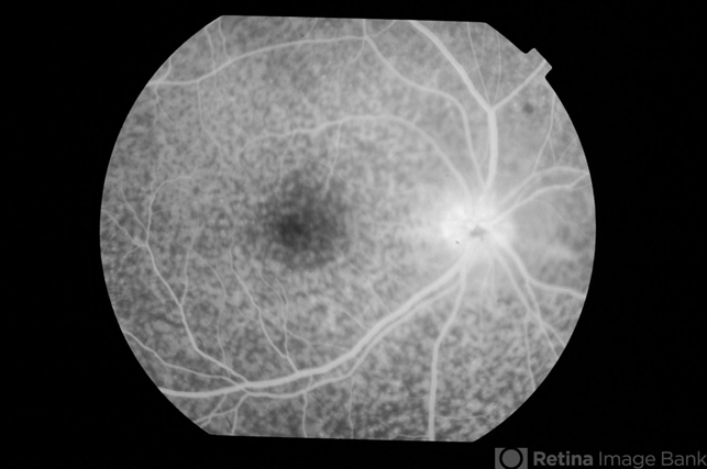
- uveitis, exudative retinal detachment
- Photographer
- Mallika Goyal, MD, Apollo Health City, Jubilee Hills, Hyderabad, India
- Description
- Fluorescein angiogram of an elderly patient with bilateral posterior uveitis shows punctate hyperfluorescence and inferior RD. He responded well to oral steroids with complete resolution of the uveitis and RD.

Initializing download.