-
By Mallika Goyal, MD
Apollo Health City
Co-author(s): Sridhar A, MD - Uploaded on May 3, 2014.
- Last modified by Caroline Bozell on May 5, 2014.
- Rating
- Appears in
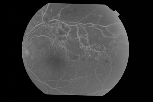
- BRVO with nonperfusion
- Condition/keywords
- non-perfused branch retinal vein occlusion (BRVO)
- Photographer
- Mallika Goyal, MD, Apollo Health City, Jubilee Hills, Hyderabad, India
- Imaging device
- Fundus camera
- Description
- Fluorescein angiogram in an eye with superotemporal BRVO shows delayed filling of retinal vessels and non-perfusion in the affected quadrant.

Initializing download.