-
By Ronald C. Gentile, MD
The New York Eye and Ear Infirmary of Mount Sinai - Uploaded on Oct 22, 2012.
- Last modified by Chayal Patel on Nov 20, 2012.
- Reviewed by Chayal Patel
- Rating
- Appears in
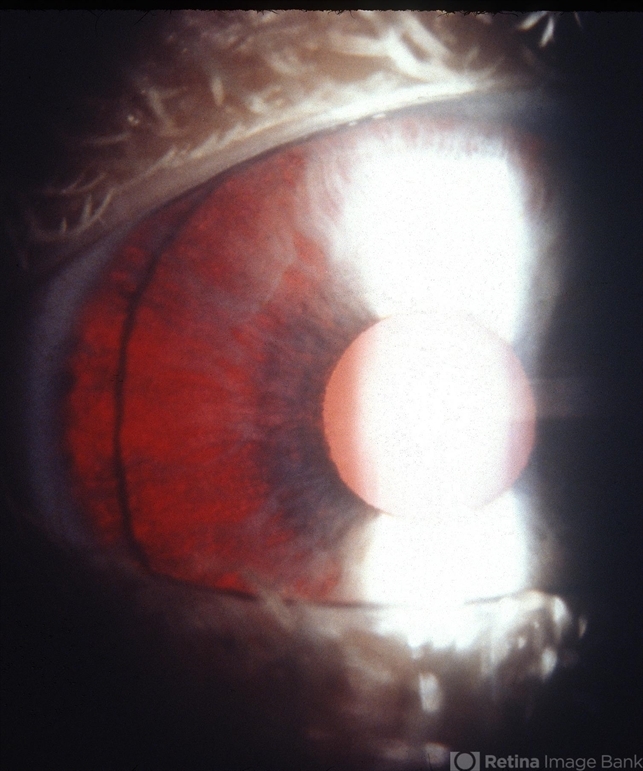
- Oculocutaneous albinism
- Condition/keywords
- ocular albinism
- Photographer
- The New York Eye & Ear Infirmary Department of Medical Imaging
- Imaging device
- Photo slit lamp biomicroscope
- Description
- 16-year-old girl with poor vision and nystagmus. She had oculocutaneous albinism with reduced pigmentation of the the iris with transillumination.

Initializing download.