-
By Ronald C. Gentile, MD
The New York Eye and Ear Infirmary of Mount Sinai - Uploaded on Oct 22, 2012.
- Last modified by Chayal Patel on Nov 20, 2012.
- Reviewed by Chayal Patel
- Rating
- Appears in
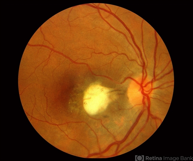
- Ocular Toxocariasis case 2
- Condition/keywords
- toxocariasis, scarred granuloma
- Photographer
- The New York Eye & Ear Infirmary Department of Medical Imaging
- Imaging device
- Fundus camera
- Description
- 8-year-old boy with a history of puppy exposure failed his school screening in the right eye. Fundus examination revealed a old scarred granuloma involving the macula. Serum testing for anti-Toxocara antibodies were positive.

Initializing download.