Neuroretinitis

file

File number: 16798


Comments

    Sign in to comment.

    Rating
    Appears in
    Neuroretinitis
    Condition/keywords
    neuroretinitis
    Photographer
    Mallika Goyal, MD, Apollo Health City, Hyderabad, India
    Imaging device
    Fundus camera
    Description
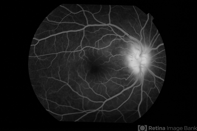
    Right eye fundus fluorescein late phase angiogram of a 25-year-old female patient with neuroretinitis shows disc hyperfluorescence but no retinal vascular abnormality or macular leak.

    Related files