-
By Larry Halperin, MD
Retina Group of Florida - Uploaded on Oct 19, 2012.
- Last modified by Larry Halperin, MD on Oct 23, 2012.
- Reviewed by Jennifer Hicks
- Rating
- Appears in
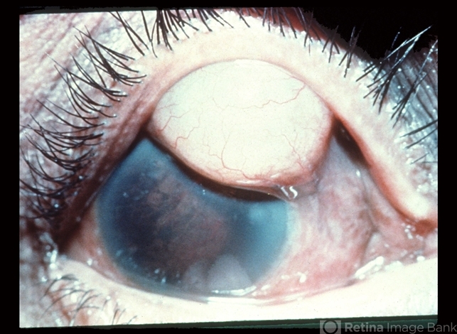
- Traumatic Lens Dislocation
- Condition/keywords
- lens dislocation, extraocular
- Description
- Traumatic lens dislocation, extraocular

Initializing download.