
File number: 1600
Comments
-
Mehul A Shah (September 12 2014)
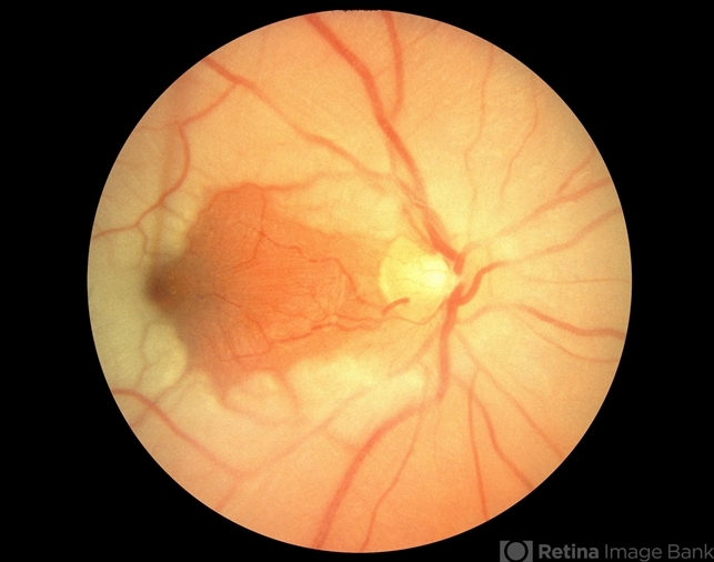
Sparing of cilio retinal artery is evident
Sign in to comment.
-
By Larry Halperin, MD
Retina Group of Florida - Uploaded on Oct 18, 2012.
- Last modified by Larry Halperin, MD on Oct 23, 2012.
- Reviewed by Jennifer Hicks
- Rating
- Appears in
- Miscellaneous
- Condition/keywords
- central retinal artery occlusion (CRAO), macula
- Description
- Central retinal artery occlusion sparing macula