-
By Jeffrey G. Gross, MD, FASRS
- Uploaded on Oct 16, 2012.
- Last modified by Jennifer Hicks on Oct 17, 2012.
- Reviewed by Jennifer Hicks
- Rating
- Appears in
- Miscellaneous
- Description
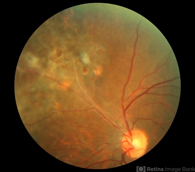
- Amelenotic choroidal nevus.

Initializing download.