-
By David Callanan, MD
Aviceda Therapeutics - Uploaded on Mar 11, 2014.
- Last modified by Caroline Bozell on Mar 11, 2014.
- Rating
- Appears in
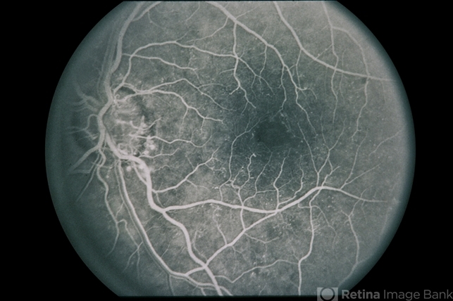
- PDR with NVD
- Condition/keywords
- proliferative diabetic retinopathy (PDR), neovascularization of the disc (NVD)
- Description
- 37-year-old with PDR with NVD.

Initializing download.