-
By S. Natarajan, MD, FASRS, FRCS (GLASGOW) , FICO, D.Sc, FELA
Aditya Jyot Eye Hospital
Co-author(s): Pandurang Kulkarni, Navendu Rai, Shachi Desai, Vinay Prasad, Rishi Bhardwaj, Anoop Sivaraman - Uploaded on Oct 16, 2012.
- Last modified by S. Natarajan, MD, FASRS, FRCS (GLASGOW) , FICO, D.Sc, FELA on Oct 16, 2012.
- Rating
- Appears in
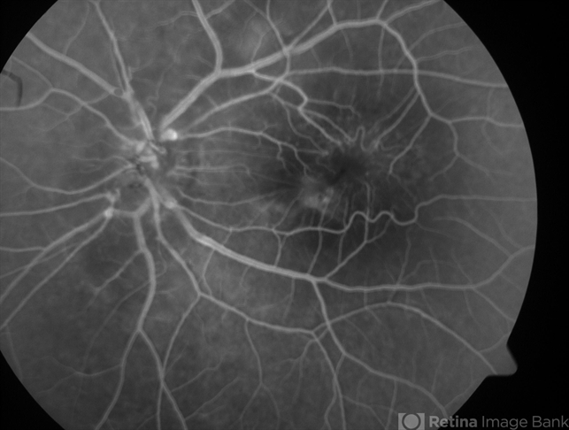
- VASCULITIS
- Condition/keywords
- retinal vasculitis, aneurysm, neuroretinitis
- Photographer
- Prof. Dr. S. Natarajan
- Imaging device
- Fundus camera
- Description
- FFA photograph of a 28-year-old male with IRVAN Syndrome showing aneurysms around disc.

Initializing download.